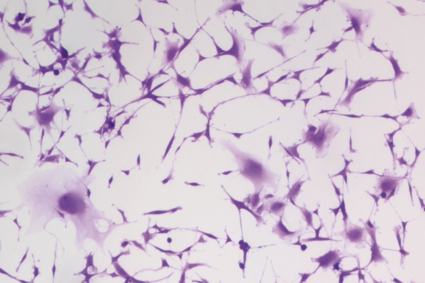
Pesquisadores do laboratório Megan Matthews em Penn trataram células tumorais cerebrais de glioblastoma humano com hidralazina, um dos medicamentos para pressão arterial mais antigos conhecidos e um tratamento de primeira linha para pré-eclâmpsia, durante três dias. No terceiro dia (imagem), mais células ficam aumentadas e achatadas – uma marca registrada da senescência, o “modo de sono” sem divisão que interrompe o crescimento do tumor. Crédito: Kyosuke Shishikura
Uma equipe liderada por Penn revelou como a hidralazina, um dos medicamentos para pressão arterial mais antigos do mundo e um tratamento básico para a pré-eclâmpsia, atua em nível molecular. Ao fazê-lo, fizeram uma descoberta surpreendente: também pode travar o crescimento de tumores cerebrais agressivos.
Nos últimos 70 anos, a hidralazina tem sido uma ferramenta indispensável na medicina – uma defesa de primeira linha contra a hipertensão arterial potencialmente fatal, especialmente durante a gravidez. Mas apesar do seu papel essencial, um mistério fundamental persistiu: ninguém conhece o seu “mecanismo de acção” – essencialmente como funciona a nível molecular, o que permite uma maior eficácia, segurança e o que pode tratar.
“A hidralazina é um dos primeiros vasodilatadores já desenvolvidos e ainda é um tratamento de primeira linha para a pré-eclâmpsia – um distúrbio hipertensivo que é responsável por 5% a 15% das mortes maternas em todo o mundo”, diz Kyosuke Shishikura, médico-cientista da Universidade da Pensilvânia. “Veio de uma era ‘pré-alvo’ de descoberta de medicamentos, quando os pesquisadores confiavam primeiro no que viam nos pacientes e só mais tarde tentavam explicar a biologia por trás disso.”
Agora Shishikura, seu orientador de pós-doutorado na Penn Megan Matthews, e colaboradores resolveram esse enigma de longa data.
No seu artigo publicado na Science Advances, a equipa descobriu o método de ação da hidralazina e, ao fazê-lo, revelou uma ligação biológica inesperada entre distúrbios hipertensivos e cancro cerebral. As descobertas destacam como tratamentos há muito estabelecidos podem revelar um novo potencial terapêutico e ajudar na concepção de medicamentos mais seguros e eficazes para a saúde materna e para o cancro cerebral.
“A pré-eclâmpsia afetou gerações de mulheres da minha própria família e continua a impactar desproporcionalmente as mães negras nos Estados Unidos”, diz Matthews. “Compreender como a hidralazina funciona em nível molecular oferece um caminho para tratamentos mais seguros e seletivos para a hipertensão relacionada à gravidez – melhorando potencialmente os resultados para pacientes que correm maior risco”.
A hidralazina bloqueia uma enzima sensível ao oxigênio
A equipe descobriu que a hidralazina bloqueia uma enzima sensível ao oxigênio chamada 2-aminoetanotiol dioxigenase (ADO) – um interruptor molecular que informa aos vasos sanguíneos quando devem se contrair.
“O ADO é como uma campainha de alarme que toca no momento em que o oxigênio começa a cair”, diz Matthews. “A maioria dos sistemas do corpo leva tempo; eles têm que copiar o DNA, produzir RNA e construir novas proteínas. O ADO ignora tudo isso. Ele aciona um interruptor bioquímico em segundos.”
A hidralazina atua ligando-se e bloqueando o ADO, o que significa que ela efetivamente “silencia” o alarme de oxigênio. Depois que a enzima foi silenciada, as proteínas sinalizadoras que ela normalmente degrada – chamadas reguladores da sinalização da proteína G (RGS) – permaneceram estáveis.
O acúmulo de proteínas RGS, diz Shishikura, diz aos vasos sanguíneos para pararem de se contrair, anulando efetivamente o sinal de “aperto”. Isso reduz os níveis intracelulares de cálcio, que ele chama de “regulador mestre da tensão vascular”. À medida que os níveis de cálcio caem, os músculos lisos das paredes dos vasos sanguíneos relaxam, causando vasodilatação e queda da pressão arterial.
Da pré-eclâmpsia ao câncer cerebral: um alvo comum
Antes deste estudo, os investigadores e médicos do cancro tinham começado a suspeitar que a ADO era importante no glioblastoma, onde os tumores muitas vezes têm de sobreviver em bolsas de muito baixo nível de oxigénio, explica Shishikura. Níveis elevados de ADO e dos seus produtos metabólicos foram associados a doenças mais agressivas, sugerindo que desligar esta enzima poderia ser uma estratégia poderosa, mas ninguém tinha um bom inibidor para testar essa ideia.
Para ver se a hidralazina era um candidato, Shishikura trabalhou em estreita colaboração com bioquímicos estruturais da Universidade do Texas, que usaram cristalografia de raios X, uma técnica de imagem de alta resolução, para visualizar a hidralazina ligada ao centro metálico do ADO, e com neurocientistas da Universidade da Flórida, que testaram os efeitos da droga em células cancerosas do cérebro.
Eles descobriram que a via ADO que regula a contração vascular também ajuda as células tumorais a sobreviver em ambientes com baixo teor de oxigênio. Ao contrário da quimioterapia, que visa matar todas as células de uma vez, a hidralazina interrompeu o ciclo de detecção de oxigénio, desencadeando a “senescência” celular, ou um estado dormente e sem divisão nas células do glioblastoma, interrompendo eficazmente o crescimento sem desencadear mais inflamação ou resistência.
Desbloqueando o potencial para outros tratamentos que salvam vidas
Os pesquisadores dizem que o próximo passo é impulsionar ainda mais a química, construindo novos inibidores de ADO que sejam mais específicos para os tecidos e melhores para cruzar ou explorar pontos fracos da barreira hematoencefálica, de modo que atinjam fortemente o tecido tumoral, poupando o resto do corpo.
Matthews também está trabalhando para continuar projetando a próxima geração de soluções médicas, revelando a mecânica de tratamentos clinicamente testados e conhecidos.
“É raro que um medicamento cardiovascular antigo acabe nos ensinando algo novo sobre o cérebro”, diz Matthews, “mas é exatamente isso que esperamos encontrar mais: ligações incomuns que podem significar novas soluções”.
Mais informações:
Kyosuke Shishikura et al, a hidralazina inibe o dioxigênio da cisteamina para tratar pré-eclâmpsia e glioblastoma senesce, Science Advances (2025). DOI: 10.1126/ssiadv.adx7
Fornecido pela Universidade da Pensilvânia
Citação: Um dos medicamentos para pressão arterial mais antigos do mundo também pode interromper o crescimento agressivo de tumores cerebrais (2025, 16 de novembro) recuperado em 16 de novembro de 2025 em https://medicalxpress.com/news/2025-11-world-oldest-blood- Pressure-drugs.html
Este documento está sujeito a direitos autorais. Além de qualquer negociação justa para fins de estudo ou pesquisa privada, nenhuma parte pode ser reproduzida sem permissão por escrito. O conteúdo é fornecido apenas para fins informativos.