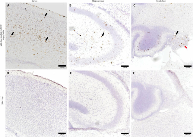
A hibridização de RNA valida a ampla circulação espacial de registros corsATP7A no cérebro. Hibridização sentada com sonda específica para corsATP7A em mente mo-br, após terapia com dose média rAAV9-corsATP7A (parte superior) contrastada com um controle adverso (base) em P12. O sinal acastanhado mostra a expressão de corsATP7A no córtex cerebral (A), hipocampo (B), cérebro (C) e plexo coróide (ponta de seta vermelha) no mutante mo-br tratado. Como previsto, falta expressão de corsATP7A na espécie selvagem negligenciada (D a F). Barras de alcance, 100 μm. Histórico de crédito: avanços na pesquisa científica (2025). DOI: 10.1126/sciadv.adw5612.
Em 1962, um proprietário de neurologia pediátrica do Instituto Neurológico de Columbia e seus associados da Universidade de Médicos e Cirurgiões publicaram um artigo completo em Medicina Pediátrica explicando um novo distúrbio de neurodegeneração em bebês do sexo masculino.
O proprietário, John Menkes, MD, tinha visto a situação do índice alguns anos antes na unidade Infants Healthcare (atualmente unidade Morgan Stanley Kid’s Healthcare na NewYork-Presbyterian/Columbia College Irving Medical Facility). Na verdade, o menino havia cumprido pontos decisivos de desenvolvimento muito cedo, como controle da cabeça e sorriso, às 6 semanas de idade. Porém, depois disso, o bebê caiu repentinamente para trás. Ele emagreceu e controlou a massa muscular e rapidamente criou convulsões regulares. Absolutamente nada que Menkes fez pareceu ajudar, e o jovem faleceu aos 18 meses de idade.
Depois de examinar os documentos de quatro outros bebês do sexo masculino da mesma família da cidade de Nova York que envolveram o Infants Healthcare com sintomas semelhantes, Menkes concluiu que o problema era uma doença congênita recessiva ligada ao cromossomo X. Anos mais tarde, a razão foi determinada como escassez de cobre – uma exploração que expôs a necessidade vital da mente humana por este traço de aço. O curso de atualização também revelaria a raridade da doença, que afeta cerca de 1 em cada 35.000 nascimentos masculinos em tempo real.
“É uma doença dolorosa”, diz Stephen G. Kaler, MD, recentemente contratado como professor de medicina pediátrica na Universidade de Médicos e Cirurgiões de Vagelos, que dirige o Columbia Menkes Condition Center. “Bebês danificados que nascem saudáveis e equilibrados adoecem em semanas, com convulsões, dificuldades de crescimento e desenvolvimento de atrasos. Sem terapia, há uma espiral descendente inexorável e a fatalidade geralmente ocorre por volta dos 2 anos de idade.
No final da década de 1980, Kaler era pós-doutorado em um laboratório de pesquisa do NIH que examinava a taxa metabólica do cobre humano quando se deparou pela primeira vez com a doença de Menkes, como realmente era chamada.
“Havia muitas condições adquiridas de metabolismo do cobre conhecidas naquela época”, diz Kaler. “A doença de Menkes foi a que parecia ter o maior interesse, tanto do ponto de vista da pesquisa científica padrão quanto do ponto de vista terapêutico, razão pela qual me senti atraído por ela.”
Três anos depois, os tratamentos criados com a pesquisa de Kaler podem transformar rapidamente a expectativa das crianças nascidas com Menkes. Um deles, um medicamento que aumenta significativamente a sobrevivência dos indivíduos Menkes, chamado histidinato de cobre (CuHis), está atualmente sob avaliação para autorização de novo medicamento pelo FDA. E um tratamento genético viral criado pelo laboratório de pesquisa de Kaler, integrado ao CuHis, pode ser capaz de oferecer às crianças benefícios ainda melhores – e talvez um futuro duradouro.
Um primeiro começo com injeções de cobre
O primeiro esforço de Kaler no início da década de 1990 para lidar com Menkes começou com suplementos de cobre. Um grupo no Canadá tentou fornecer injeções CuHis a duas crianças com doença de Menkes para aumentar os níveis de cobre, e Kaler lançou um procedimento no Centro Científico do NIH.
“Era uma possibilidade distinta, porque no NIH, eu poderia lidar com pessoas de todo o país, de todo o mundo, com esta doença rara e examinar oficialmente o seu desempenho em testes científicos.”
Os primeiros resultados foram combinados, afirma Kaler. Ele descobriu que as crianças com versões mais suaves da genética de transporte de cobre de Menkes reagiam muito melhor aos suplementos de cobre, assim como as crianças que foram tratadas pouco depois do nascimento.
Uma experiência mais longa com ainda mais pessoas determinou vantagens distintas na sobrevivência e nos resultados científicos, apesar das versões com séria perda de função que faziam uso de uma fórmula CuHis gerada no NIH e mais tarde pela Cyprium Therapies e Sentynl Therapies, parceiros biofarmacêuticos.
Entre as pessoas tratadas pouco depois do nascimento, a sobrevivência típica saltou para 15 anos; alguns indivíduos também preferiram ingressar na universidade, ingressar no mercado de trabalho e levar uma vida quase normal. Os jovens tratados mais tarde, que já tinham criado sinais, também revelaram uma vantagem de sobrevivência, residindo no padrão até aos 5 anos de idade.
“Os CuHis ofereceram às mães e aos pais ainda mais tempo com seus filhos, e eu entendo que eles valorizaram isso profundamente”, afirma Kaler. “Mas parecia que, para tratar melhor a doença, também precisávamos de uma abordagem de substituição genética”.
As injeções fornecem cobre diretamente na corrente sanguínea, explica Kaler, mas como erros na genética de Menkes impedem o transporte de cobre, muitas células que consistem em células nervosas do cérebro não obtêm o suficiente do aspecto.
Um tratamento genético mais suplementos de cobre aborda ambas as versões.
Sucesso do tratamento genético em estudos com animais de estimação
Antes de se inscrever na Columbia em agosto de 2024, Kaler deixou o NIH para colaborar com líderes de tratamento genético viral no Nationwide Kid’s Healthcare e no Ohio State College em Columbus, Ohio, para desenvolver um tratamento genético Menkes. O tratamento, infundido na corrente sanguínea, fornece ao cérebro uma genética transportadora de cobre útil.
Os primeiros testes pré-clínicos do estilo mais recente de Kaler foram publicados em agosto de 2025 na Scientific Research Breakthroughs e revelam resultados impressionantes quando combinados com injeções de CuHis: uma dose solitária do tratamento genético chega ao cérebro e interrompe a doença em quase 100% dos ratos de computador com problema na genética Menkes.
“Precisamos fazer mais exames em animais de estimação para verificar a segurança deste tratamento genético para que possa ser usado em humanos, e acho que estamos talvez um ou dois anos longe de iniciar um teste profissional da terapia mista”, diz Kaler.
“A esperança é que, juntamente com os avanços nos testes em recém-nascidos para tornar possível uma descoberta muito precoce, a terapia da doença de Menkes com CuHis mais o tratamento genético certamente mude a natureza deste problema”, afirma Kaler. “Isso certamente fecharia uma lacuna em uma história para a qual o NewYork Presbyterian/Columbia College Irving Medical Facility e o NINDS foram tão importantes.”
“Algumas empresas afirmam que não existe uma droga milagrosa cuja progressão deva ser avaliada em anos. A perda de uma criança é um dos maiores desastres da vida, e os avanços atuais e as possíveis autorizações da FDA para essas terapias são agradáveis. Há ainda mais trabalho a fazer, certamente, mas pelo menos agora temos um caminho razoável pela frente e podemos imaginar um dia em que a vida das crianças e de seus pais não será mais prejudicada por esta doença desafiadora.”
Mais detalhes:. Lalitha Venkataraman et alia, histidinato de cobre subcutâneo intravenoso AAV9-ATP7Aplus maximiza os resultados em uma versão mortal do mouse de computador da doença de Menkes, Scientific research Breakthroughs (2025). DOI: 10.1126/sciadv.adw5612.
. Oferecido por. Centro Médico Irving do Columbia College.
Citação:. O tratamento genético pode proporcionar um desejo totalmente novo para bebês com doenças incomuns e mortais (2025, 30 de outubro). obtido em 30 de outubro de 2025. em https://medicalxpress.com/news/2025-10-gene-therapy-infants-rare-fatal.html.
. Este artigo está protegido por direitos autorais. Além de qualquer tipo de negociação razoável para fins exclusivos de pesquisa ou estudo de pesquisa, não. componente pode ser replicado sem o consentimento criado. O conteúdo da web é atendido apenas com objetivos detalhados.
.
Fuente



